您的位置:华美美莱>产品 >

烤瓷牙

项目介绍INTRODUCTION
烤瓷牙是一种常见的口腔牙齿修复方法。烤瓷牙,即烤瓷熔附金属全冠又称金属烤瓷联合冠(metal-ceramic crown)。其是瓷粉经过高温烧结熔附于金属内冠表面而形成的全冠修复体。金属烤瓷冠目前临床使用多的全冠修复体,兼有铸造金属全冠机械强度好和全瓷冠美观的优点,是一种较理想的修复体。
适用人群CROWD
牙齿缺失;牙根残留;牙齿畸形;变色牙;氟牙症;烤瓷牙修复失败。
项目优势ADVANTAGE
美莱活力齿科是国内采用欧美“定制烤瓷产品”的齿科机构,烤瓷牙的定制数据均来自超级计算机模拟计算,这样可以确保与您的牙齿色泽契合度、密合性佳!无传统烤瓷牙变色、脱落之忧;我们的定制产品均为欧美产品二次甄选,与口腔生态融合性,有效避免传统全瓷牙污染口腔的弊病。
恢复时间RECOVERY TIME

做烤瓷牙不是一次就诊就可以了,而不同的口腔状况需要的时间和就诊次数也有所差别.

烤瓷牙修复的时间是7天左右,但烤瓷牙修复牙齿缺损需要的时间又与多方面因素有关。如:个人牙齿健康的状况、牙齿有病变的情况、牙齿有损坏的情况都会影响牙齿的修复时间。

注意事项CONSIDERATIONS

术前:
心理调整,要和医师做充分的沟通

排除口腔其他疾病做临床检查

维护口腔健康,每天清洁牙齿

术后:
初戴时应吃软的食物,适应后再吃正常食物。

初戴烤瓷牙时有轻度不适感患者应耐心练习使用,逐渐适应。

烤瓷牙受到超过应力范围之外的压力就会引起碎瓷,所以不要咬过硬的食物。

前期要缓慢进食,逐渐适应,以免咬伤颊舌粘膜。

烤瓷牙后更容易聚集牙菌斑,形成牙结石,应该更加重视牙齿的清洁。

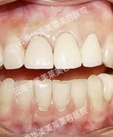
对比成果CASE
材料设备EQUIPMENT
德国 "Debel"生物激光,"复印式"堆积铸造义齿

德国BeCe 变色龙,"切削"多余材料塑造义齿

LAVA全瓷牙


相关问题CONSULTATION
  • 烤瓷牙可以修复断裂牙齿吗?烤瓷牙可以令断裂的牙齿得到修复,方法也很简单,像门牙比较明显部位的牙齿,就可以选择全瓷牙进行牙齿的修复,美莱拉瓦全瓷牙,不但色泽和真牙媲美,戴上也非常舒适,通过3D技术设计,将做好的烤瓷牙套包裹住假牙,恢复完善牙齿。
  • 美莱烤瓷牙效果如何?烤瓷牙已成为较受人们欢迎的牙齿修复技术,它不仅可以让你的牙齿变得洁白如瓷,还可以让你的牙齿排列整齐。美莱烤瓷牙有多种类型供患者选择,这主要是按照烤瓷牙的材料来进行分类。有效解决牙齿发黑、牙列不齐等现象。
以上文字阐述的只是大概,如果您想了解的更详细,建议您花费几分钟时间,通过 咨询客服 或拨打24小时咨询热线:0871-66199999,更清晰的了解您的情况,帮您解决困扰!